


高吸収/低吸収領域及び、
組織構造・境界の不明瞭化領域の抽出・表示




※画像はイメージです
救急医療の現場での活用
EIRLで人とは別目線でチェックを行う
救急医療の体制
- 救急医療の現場では専門外の医師が脳CTの画像診断を下さなければならないケースが数多く存在する
- 救急医療の対応を少人数の医師で行なっている施設も数多く存在する
救急医療の難点
- 既存の疾患や患者の主訴に注目してしまう
- 症状が典型的でない
- 症状が一時的に軽快する

機能
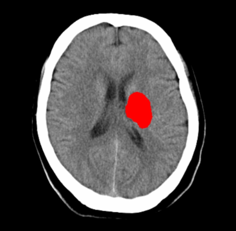
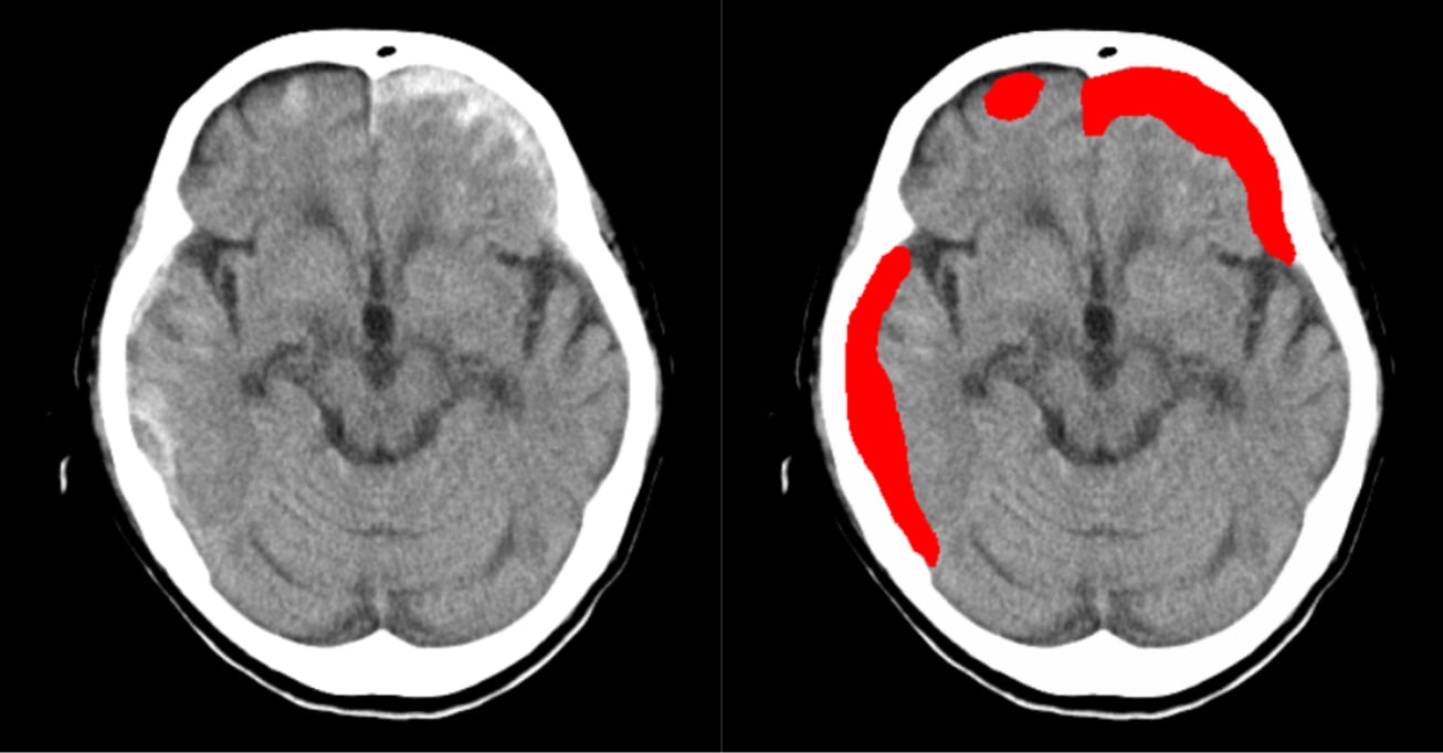
- CT画像情報から頭蓋内の高吸収・低吸収領域を抽出
頭部単純CTの画像情報から頭蓋内の高吸収・低吸収領域を抽出し強調表示をします
解析事例
通常通り読影
画像所見を網羅的に確認

解析結果の確認
通常読影後に以下いずれかの抽出結果を参照できます
- 高吸収領域の表示
- 高吸収、低吸収、不明瞭領域の表示

※画像はイメージです
- 頭部単純CTの画像情報から頭蓋内の高吸収・低吸収領域を抽出し強調表示をします
- 頭蓋内で前後のスライス及び同一スライス内の左右で比較して組織構造もしくは組織境界の不明瞭化が見られる領域を表示します
- 抽出領域がセグメンテーション表示されることで視覚的な確認が可能です
システム連携
現在ご利用の医療画像管理システム(PACS)やモダリティと連携可能
国際的な医用画像規格「DICOM」に準拠しています。
医療機関で既に導入されている各社PACSやモダリティから画像データを受信し、
医師の手元にあるビューワー等で解析結果を出力することができます。

基本情報
