2025.11.13
プレスリリース
ジェイマックシステムとPACS連携・販売連携で画像診断支援AIの普及を推進2025.10.24
ニュース
「第66回日本肺癌学会学術集会」出展のお知らせ2025.10.23
ニュース
kaggleコンペティション「RSNA Intracranial Aneurysm Detection」にて、エルピクセルのエンジニアがGoldメダルを獲得

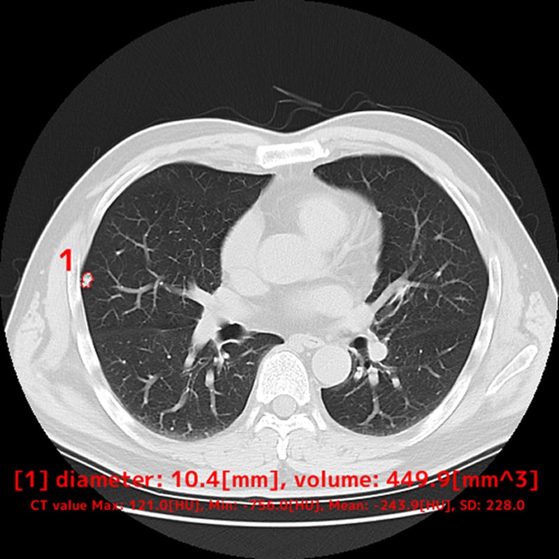
胸部CT画像から肺結節の候補領域を検出
胸部CT画像から肺野領域において、肺結節候補領を自動検出し、その体積と最大径を計測することで、医師の読影診断を支援するソフトウェアです。

胸部X線画像における包括的な
読影支援を提供
胸部X線画像から肺結節・浸潤影・無気肺・間質性陰影候補を検出する機能に加えて、胸腔内の空気含有面積・肋骨横隔膜角・心胸郭比・縦隔幅・大動脈弓径を自動計測する2つのソフトウェアを統合した新たな製品です。

胸部X線診断を進化させる
肺結節検出サポートテクノロジー
胸部X線画像から肺結節に類似した領域(5mm〜30mm) を検出することで、医師による読影をサポートします。本ソフトウェアを併用して読影した場合、医師単独での読影感度45.4%は57.0%に大幅に向上しました(放射線科医:47.1% → 57.1%、非専門医:43.8% → 56.9%)。

MRA診断を進化させる
脳動脈瘤検出サポートテクノロジー
脳MRA画像から嚢状動脈瘤に類似した領域(2mm以上)を検出することで、医師による読影をサポートします。本ソフトウェアを併用して読影した場合、医師単独での読影感度68.2%は77.2%に大幅に向上しました(放射線科医5年未満:69.6% → 81.2%、放射線科医5年以上:77.2% → 82.0%、脳神経外科医6年未満:53.7% → 62.3%、脳神経外科医6年以上:77.0% → 88.5%)。

効率的な診断を期待できる
自動計測アルゴリズム
脳MRI画像から白質高信号領域・Evans index・Callosal angleを自動計測することで、白質等の評価における医師によるばらつきをなくします。

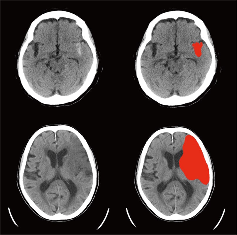
頭部CT画像から
頭蓋内の高吸収領域を自動抽出
頭部単純CTの画像情報から、頭蓋内の高吸収領域を抽出し強調表示をおこないます。各スライスの高吸収領域が色付けされて表示されます。

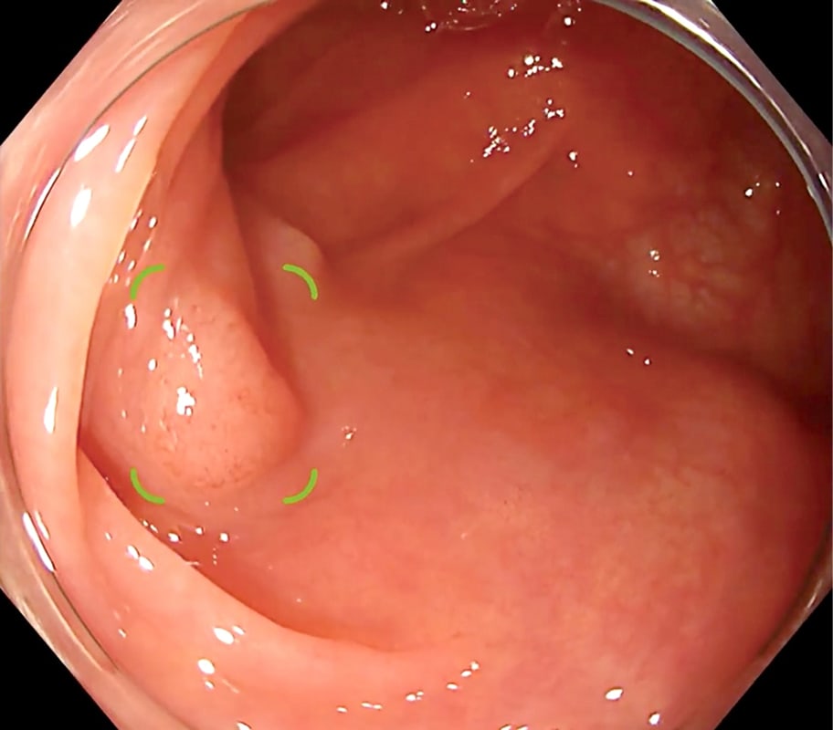
大腸ポリープ候補*を検出し、
大腸内視鏡検査を支援する
大腸内視鏡検査中に通常白色光モードにおいて入力された大腸内視鏡画像情報から、大腸ポリープ候補を検出することが出来ます。検出した場合には、メイン画像の四隅を囲むアラート枠を表示した後、ポリープ候補領域の四隅を囲む矩形を表示します。
* 隆起型及び表面型(表面隆起型)
医師のワークロードを最適化する
様々な疾患に関する研究開発を行なっています
CT, MRI, 病理画像などの医療画像を中心に多様な医療ビックデータを活用し、
独自の人工知能(AI)アルゴリズムで医療画像診断支援技術を研究開発しています。

わたしたちが
大切にしていること
EIRLは、画像をはじめとする診断に必要なあらゆる情報を解析し、
医師が効率的でより正確な診断ができる環境を提供します。
SOLUTION 01
診断精度の向上
医療画像から特徴的な部分をマーキングし、医師にフィードバックすることで、見落とし防止を目指します。
SOLUTION 02
診断効率の向上
医師によるアナログな指標算出を定量的かつ自動計測することで、医療の効率化を目指します。
SOLUTION 03
新たな判断基準の創出
AIの活用により、医師の問題解決につながる革新的な手法を生み出し、新たな価値を創造します。

































