


脳動脈瘤候補を検出




※画像はイメージです
開発にかける想い
未破裂脳動脈瘤の検出をサポートし、
見落とし防止により診断・観察を支援する
※放射線画像領域にてAIを活用したプログラム医療機器として初めて本邦で承認を取得
(出典:「プログラム医療機器の製造販売承認品目一覧」(2024年12月31日時点)/ 独立行政法人医薬品医療機器総合機構)
- 未破裂脳動脈瘤が破裂すると、くも膜下出血となり命に関わる
- 日本人はくも膜下出血の発症率が高いと言われており、未破裂脳動脈瘤の適切な観察・治療が必要*
- MRI検査数が増え早期発見が可能になっている一方で、人口あたりの放射線診断専門医の数が少なく医師一人あたりの負担が増加**
< 私たちが考える、画像診断支援AIに期待するサポート >
- AIによる見落としリスク低減、早期発見・適切な経過観察の支援
- 医師とAIのダブルチェック体制の構築による、医師の心理的ストレス・身体的疲労の軽減
* 脳ドックのガイドライン 2019[改訂第5版]
** CTおよびMRI検査における放射線科医の 潜在的業務量の国別および日本の地域別の差異
機能と使用条件
機能
- 2mm以上の脳動脈瘤に類似した候補点を検出
- 脳動脈瘤に近しい候補から最大4つをマークして表示
使用条件
- 入力:MRA 3D TOF (Time of Flight)
- 撮像部位:頭部
- 磁場強度:1.5Tまたは3T
性 能
単体性能試験において
感度92.3%達成しながら、偽陽性数0.88(FP/case)達成
単体性能試験は頭部MRA画像252症例(内訳:正常例 126症例、有症例 126症例)で実施しました。上記結果は性能評価試験の結果であり、臨床試験における精度を保証するものではありません
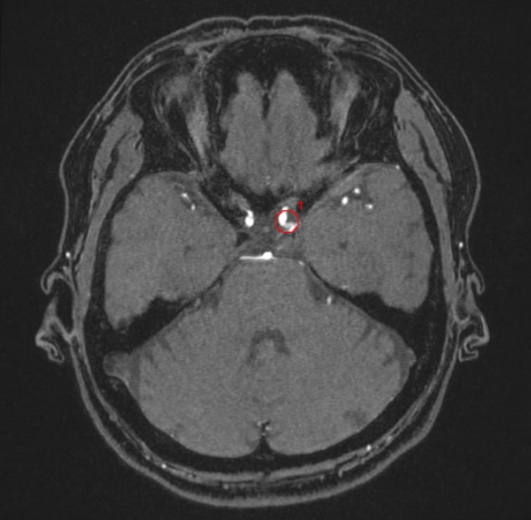
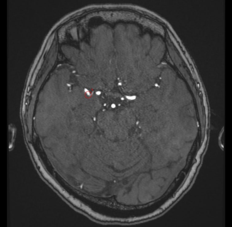
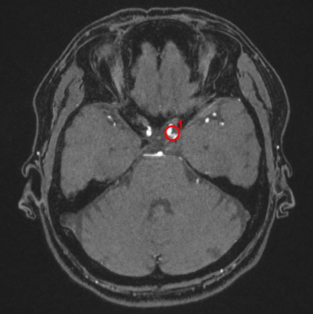
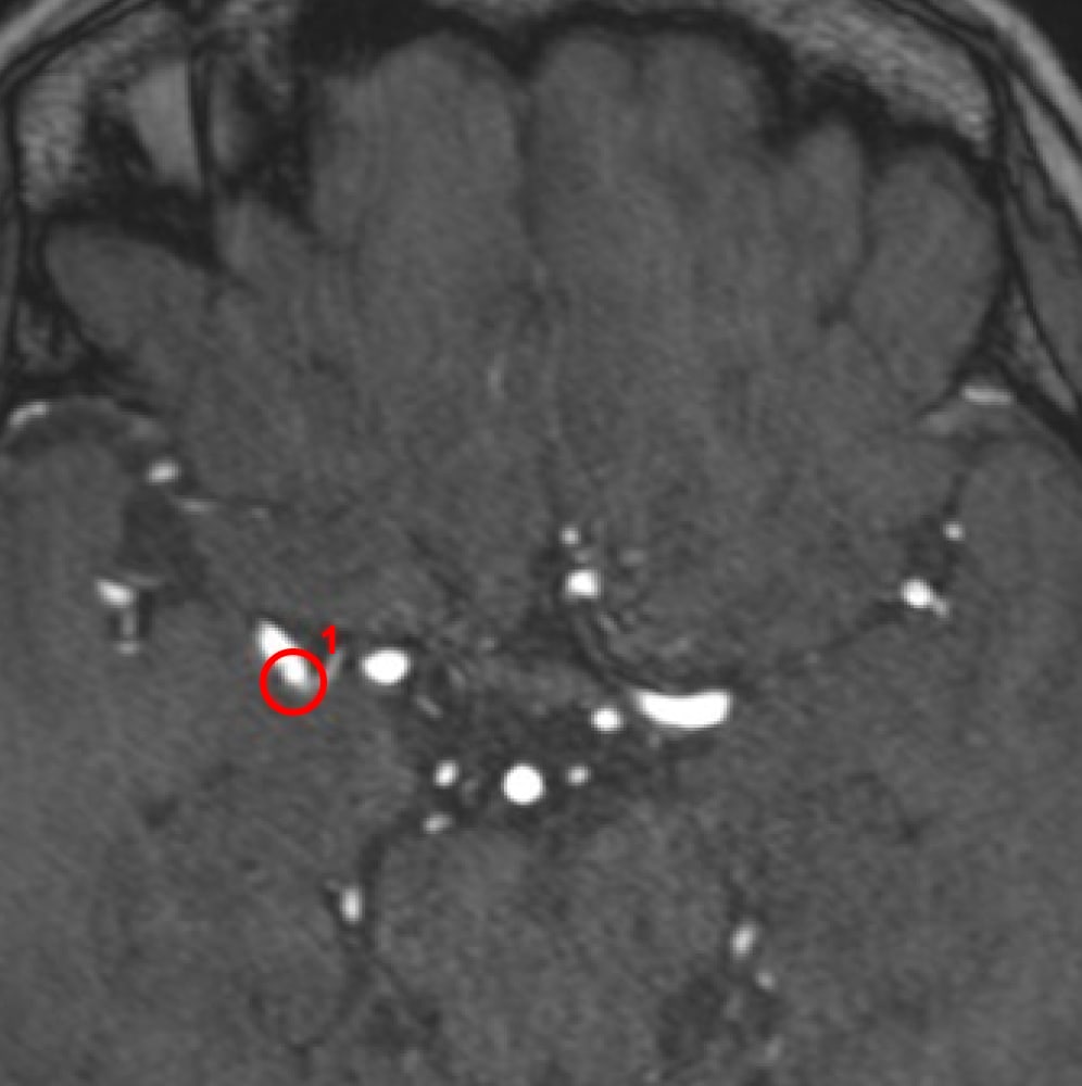
解析事例
内頚動脈-後交通動脈


中大脳動脈


EIRL導入&活用事例
EIRL Story
システム連携
現在ご利用の医療画像管理システム(PACS)やモダリティと連携可能
国際的な医用画像規格「DICOM」に準拠しています。
医療機関で既に導入されている各社PACSやモダリティから画像データを受信し、
医師の手元にあるビューワー等で解析結果を出力することができます。



