画像診断支援AIがWebで使える
医療AIクラウドサービス
EIRL Cloud〈エイルクラウド〉
- 月額2万円から画像診断支援AIが使える!
- 2つのプランから用途に合わせて選択!
- インターネット環境さえあれば即日利用可能!


読影に実はこんな不安を抱えていませんか?
- 胸部X線の読影に慣れていない
- 十分な読影時間を確保しづらい
- 見逃してはいけないストレスがある
- 迷ったときに、相談相手がいない
「EIRL Cloud(エイル クラウド)」とは?
医師の画像診断を支援するAIを利用できる
エルピクセルのクラウドサービス(製品の総称)です。
医師のオーバーワークや人手不足による「見落としリスク」の低減に寄与する「医師のパートナー」として
画像診断支援AIへの期待が高まっています。
「オンプレミス型」のAIは機材設置・システム連携や初期費用などの「導入コスト」が特に小規模医療施設にとってはハードルでした。
しかし医師数が限られている施設こそ、画像診断支援AIによるサポートが求められています。
「クラウド型」のEIRL Cloudは大学病院からクリニックなど全国で利用実績がある
エルピクセルの画像診断支援AIが簡便かつ低コストでご利用いただけます。


エルピクセルの
AIが選ばれる理由
全国1200施設以上の
利用実績
EIRL Cloudでは大学病院からクリニックまで全国1200施設以上の利用実績がある、エルピクセルが開発した画像診断支援AIが手軽に利用できます。
マルチベンダー対応
デジタル撮影の胸部レントゲン画像であればメーカー・機種を選ばないため、撮影機器の入れ替えは不要です。
オンプレとクラウドが選べる
インターネット環境での利用が難しい場合や解析数が多い場合は、オンプレミス型もご用意していますので、ご相談ください
セキュリティガイドラインに
準拠
経済産業省、総務省のガイドラインに準拠しています。 → 詳しくはこちら
自社で全て行える開発力
AI開発から製品化・薬事・販売まで全て自社で行っており、ユーザー様のご意見を反映させた製品開発を行っています。
日本で収集したデータを利用
AIの学習に利用した教師データは主に日本国内の医療機関のデータであり、日本国内の医師の知見を反映して開発しております。

EIRL Chest XR*1(XRプラン)の機能と性能
結節影・浸潤影・間質性陰影・無気肺の候補領域を検出します
肺野陰影検出支援機能特異度優先モデルの単体性能比較試験(対象:解析対象画像355枚 有症例89枚、正常例266枚)において
異常陰影の候補領域検出
感度:81.2%
特異度: 98.1%
を達成
放射線科医以外の内科系診療科医(経験年数10年以上)においてすべての所見で感度の向上が認められました。

医用画像解析ソフトウェア EIRL Chest XR の旧バージョン (新規承認時) の読影試験の結果を記載しています。
医師の内訳:放射線科専門医 (3名)、専門外医 (7名 うち経験10年以上:3名、経験5年未満:4名)
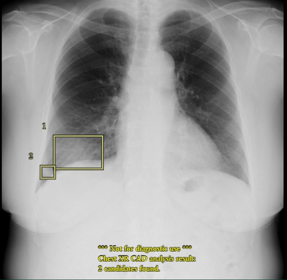
EIRL Cloud 利用イメージ


四角いボックスはEIRL Chest XR *1が検出した肺結節候補域❷と浸潤影候補領域❶を表示しています。
※EIRL Viewer *2による表示例です
*1 製造販売承認番号:30400BZX00285000 販売名:医用画像解析ソフトウェア EIRL Chest XR
*2 販売名:医用画像ビューワソフトウェア EIRL Viewer 製造販売認証番号:303AGBZX00046000
EIRL Cloudの料金
圧倒的低コストで導入可能!
無料トライアル後のクレジットカード登録なので、
安心してお試しいただけます
初期費用
200,000円
(税込価格 220,000円)
14日間無料初回トライアル中のご契約の場合
半 額100,000円
(税込価格 110,000円)
月額費用
利用したい機能に合わせて選べる2つのプラン
XRプラン
4種類の異常陰影*
を検出
25,000円
(税込価格 27,500円)
Noduleプラン
肺結節影のみ
を検出
20,000円
(税込価格 27,500円)
- 本契約への移行月を1ヶ月目として、12ヶ月間を最低ご利用期間とさせていただいております。
- 初期費用:請求書払い
- 月額費用:クレジットカード払い(毎月1日引落し)
※初月はトライアル期間終了日翌日または本契約日のいずれか遅い日から月末までの日割り計算となります。
*結節影、浸潤影、無気肺、間質性陰影
14日間無料!気になる症例を解析
ご利用の流れ
かんたん4ステップ!
STEP 1
無料アカウント登録
STEP 2
気になる症例の
検査画像をアップロード
STEP 3
オリジナルViewerで
解析結果を参照
STEP 4
継続利用の場合は
クレジットカードを登録!
※無料期間中に課金されることはございません。
※EIRL Cloudはクリニック向けプランです。病院/健診センターへの導入を希望の方は、お問い合わせください。
お客さまの声

EIRLはレントゲン検査の新たな相棒
もちろん自分の目でもしっかり診ていますが、AIの力を借りながら見落としを防止したいと思って導入しました。
新たな検査手法、AIの可能性に期待しています。

「安価な導入価格」と「簡便な使用感」が決め手
思った以上に簡単に導入できました。X線画像データのアップロードから解析までほんの数分で完了。負担なくワークフローに取り入れられました。

読影時の精神的負担の軽減
医師+EIRLのダブルチェック体制で患者さんにとっても、医師にとっても安心感を与えてもらっています。
よくあるご質問
NoduleプランとXRプランは何が違いますか?
「Noduleプラン」は EIRL X-Ray Lung nodule※1を用いて、胸部X線画像から肺結節候補域を検出します。
「XRプラン」は EIRL Chest XR※2を用いて、胸部X線画像から結節影・浸潤影・無気肺・間質性陰影候補を検出します。EIRL cloudでは肺野陰影検出支援機能 特異度優先モデルの提供となります。
運用や目的にあわせて、「Noduleプラン」または「XRプラン」のどちらかをお選びいただけます。(同時のご利用はできません)
EIRL Cloudで解析できる画像種別(対象モダリティ)は何でしょうか?
「Noduleプラン」または「XRプラン」どちらも、胸部デジタルレントゲン撮影の画像(CR、DX)が対象です。
胸部CT、頭部MRIなどはオンプレミス型でご用意しておりますので、お問い合わせからご相談ください。
メールアドレス認証後になにをすればいいですか?
メールアドレスの認証が完了すると、「メールアドレスを確認しました。ログインをしてからEIRL Cloudへご登録ください。」と表示されます。
メール内もしくはサイト上部のログイン画面よりログインいただき、ご登録ください。
解析結果が表示されるまでどれくらいかかりますか?
インターネット環境に依存しますが、1ファイルあたり約1分です。
アップロードした画像はいつまで閲覧できますか?
アップロードした日から14日後の23:59 に自動で削除されます
DICOMファイルの出力(ダウンロード)方法はどうすればいいですか?
ご利用のメーカー様へお問い合わせをお願いいたします。
アップロードの手間を省くことはできませんか?
EIRL Cloudはオートアップロードには原則対応しておりません。
解析枚数が多いなど、お困りの場合はお気軽にお問い合わせからご相談ください。
またPACS等と連携し、解析結果を参照することができるオンプレミス型のEIRL Serverもご用意しておりますので、こちらもお気軽にご相談ください。
有料プランを解約する方法を教えてください。
解約予定日の30日前までに、コチラのフォーム から「有料プランの解約」を選択してご連絡ください。
後日、担当者からご連絡いたします。
なお、フォームへの申込みだけでは解約は完了しておりませんのでご注意ください。
再登録方法を教えてください。
再登録をご希望の場合は、右上のログイン画面からマイページにアクセスのうえ、お申し込みください。
推奨利用環境はありますか?
Google Chrome 最新版を推奨しております。
