


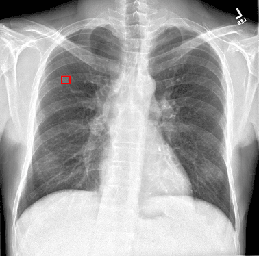
結節影等*の異常陰影を検出
心胸郭比等**の自動計測




※画像はイメージです ※EIRL Chest Screeningは製品の総称です *結節影、浸潤影、無気肺、間質性陰影 **胸腔内の空気含有面積、心胸郭比、縦隔幅、大動脈弓の径、肋骨横隔膜角、経時比較
開発にかける想い
肺野領域における、疾患の早期発見に寄与する
- レントゲンは最も身近な画像検査である一方、見逃しも報告されている *1
- 肺がん患者に限定した場合、19%の結節性病変が見逃されていた *2
- 見逃しの理由は疲労や経験不足等、読影者要因のこともある *3,4
- 手動計測では医師間及び医師内でばらつきが確認され、AIによる計測支援が有用とされた *5
< 私たちが考える、画像診断支援AIに期待するサポート >
- X線読影における、結節影含む異常陰影の見落とし防止
- 自動計測機能を活用することで、より一貫性のある診療を実現
- AIを医師の「第二の目」とすることで、医師の心理的ストレス・身体的疲労を軽減
*1 Parisa Kaviani et al. Frequency of Missed Findings on Chest Radiographs (CXRs) in an International, Multicenter Study: Application of AI to Reduce Missed Findings,Diagnostics (Basel). 2022 Sep 30;12(10):2382
*2 Lorentz G.B.A. Quekel, MD et al. Miss Rate of Lung Cancer on the Chest Radiograph in Clinical Practice ,CHEST JOURNAL p720-724 March 1999
*3 Andrew J Degnan et al. Perceptual and Interpretive Error in Diagnostic Radiology-Causes and Potential Solutions,Acad Radiol. 2019 Jun;26(6):833-845
*4 Robert G Alexander et al. What do radiologists look for? Advances and limitations of perceptual learning in radiologic search,J Vis. 2020 Oct 1;20(10):17
*5 Pairash Saiviroonporn et al. Cardiothoracic ratio measurement using artificial intelligence: observer and method validation studies ,BMC Med Imaging. 2021 Jun 7;21(1):95. doi: 10.1186/s12880-021-00625-0.
機能と使用条件
異常陰影検出機能 *1 + 過去比較機能
- 結節影
- 浸潤影
- 無気肺
- 間質性陰影
- 新規出現陰影の強調 *2
- 肺結節候補域の経時的変化(増減率)を表示 *3
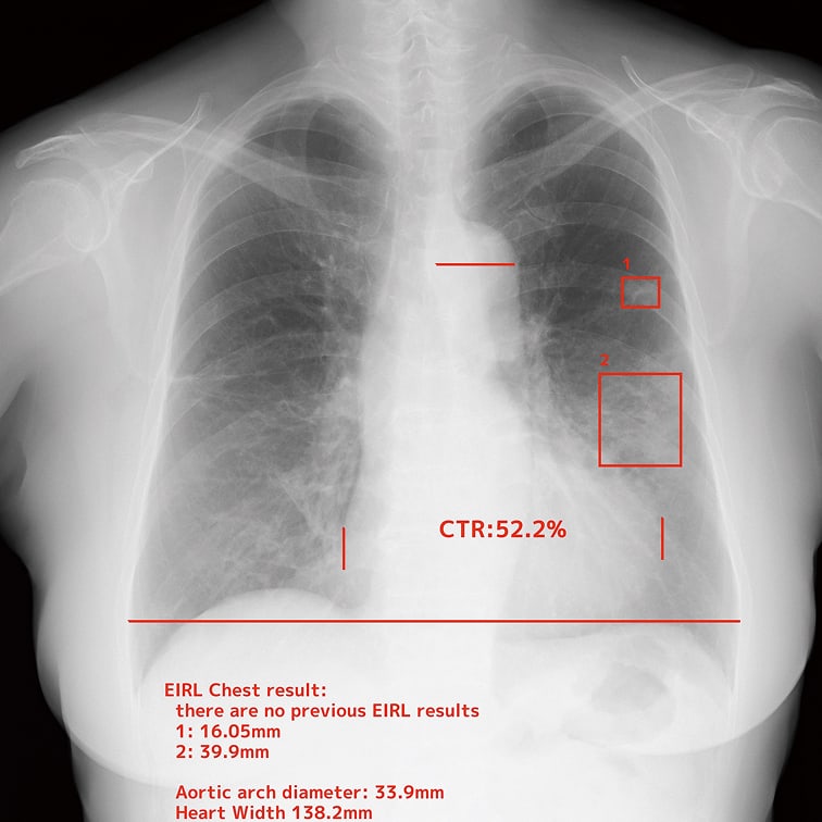
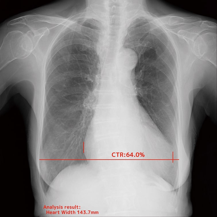
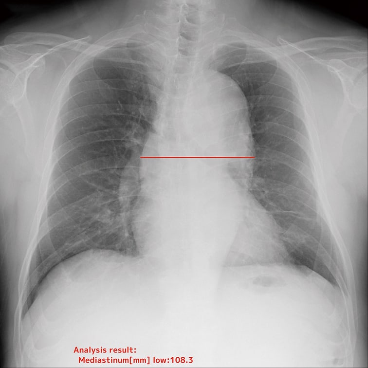
自動計測機能 + 過去比較機能 *4
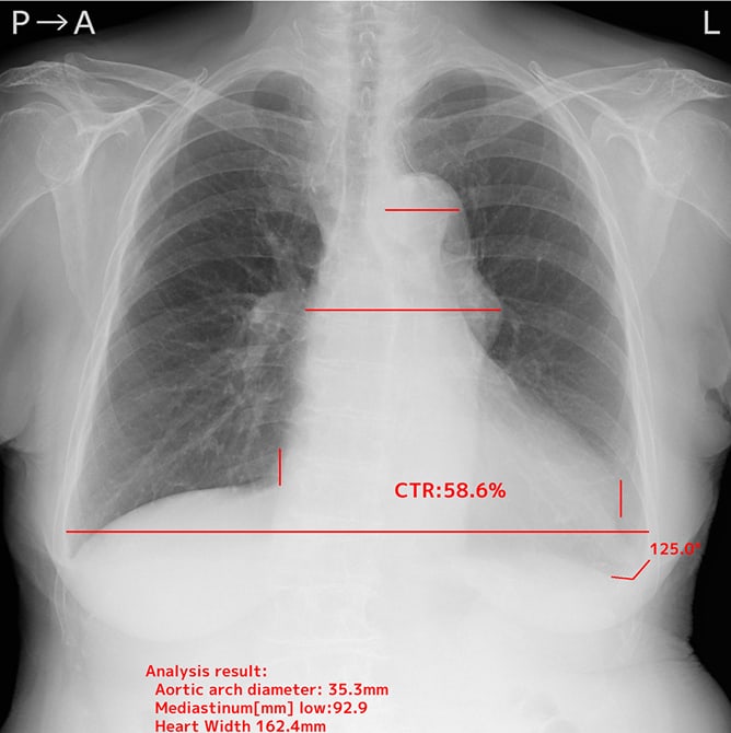
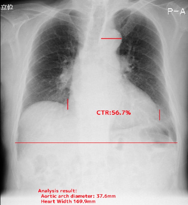
- 胸腔内の空気含有面積
- 心胸郭比
- 縦隔幅(上部、中部、下部)
- 大動脈弓の径
- 肋骨横隔膜角
- 前回と今回の自動計測結果の差分を表示
使用条件
XRモード
- モダリティ:CRもしくはDX
- 撮像条件:胸部PA
- 撮像条件(モダリティベンダー):富士フイルム、コニカミノルタ
Noduleモード
- モダリティ:CRもしくはDX
- 撮像条件:胸部PAまたはAP
- 撮像条件(モダリティベンダー):条件なし
*1 XRモードの場合。Noduleモードの場合は、結節影のみ
*2 対象のソフトウェア 販売名:医用画像解析ソフトウェア EIRL Chest XR 製造販売承認番号:30400BZX00285000
*3 対象のソフトウェア 販売名:医用画像解析ソフトウェア EIRL X-Ray Lung nodule 製造販売承認番号: 30200BZX00269000
*4 対象のソフトウェア 販売名:医用画像解析ソフトウェア EIRL Chest Metry 製造販売認証番号: 302AGBZX00101000
性 能
読影試験において、EIRL使用群は、EIRL未使用群(医師単体)と比較
全体で検出感度が11.3%向上
医用画像解析ソフトウェア EIRL Chest XR の旧バージョン(2022年新規承認時)の読影試験の結果を記載しています。
解析対象画像354枚(有症例88枚、正常例266枚)を対象に、医師10名による読影試験を実施。
医師の内訳:放射線科専門医(3名)、非専門医(7名 うち経験10年以上:3名、経験5年未満:4名)
対象のソフトウェア 販売名:医用画像解析ソフトウェア EIRL Chest XR 製造販売承認番号:30400BZX00285000
特 徴
迷いを与えず、邪魔をしない表示方法
EIRLが検出した箇所を、明確に矩形で表示します。これにより、原画像の情報を損うことなく、直感的に検出箇所を確認できます。

臨床現場の使いやすさを重視した性能設計
感度と特異度のバランスをとりながら開発することで、日常診療での見落とし防止と読影効率の向上を両立します。臨床現場でのフィードバックをもとに、随時アップデートを繰り返しています。
医師に寄り添う、選べるモデルとモード
ご施設や先生のニーズに合わせて、検出量を調整した感度優先モデルと特異度優先モデルをご用意しました。*
感度が高いと細かい検出が増えて読影に時間がかかってしまう…
特異度優先モデル
感度が高いほうが検出されて頼もしい!
感度優先モデル
多様な疾患をカバーするXRモードと、肺結節に特化したNoduleモードをご用意しました。
多様な疾患をカバーしたい方へ
XRモード
肺結節に特化したい方へ
Noduleモード
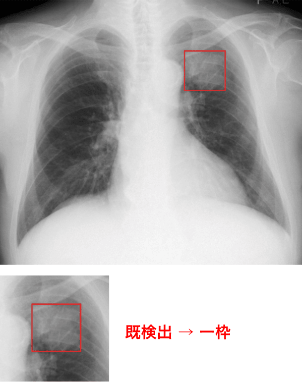
過去画像との比較をサポート
過去に解析された同一患者の胸部X線画像と現在の画像を自動で比較し、異常陰影候補領域の経時的変化を表示します**。
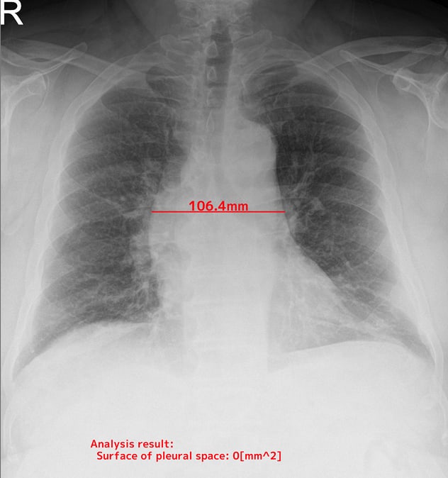
計測の自動化による日常業務の負荷軽減
EIRLが胸部X線画像上のランドマークを認識し、自動で計測。計測のばらつきを抑えながら、日常業務の負担を大幅に軽減します。
* 販売名:医用画像解析ソフトウェア EIRL Chest XR 製造販売承認番号:30400BZX00285000
** 新規検出の有無:対象のソフトウェア 販売名:医用画像解析ソフトウェア EIRL Chest XR 製造販売承認番号:30400BZX00285000、増減率:対象のソフトウェア 販売名:医用画像解析ソフトウェア EIRL X-Ray Lung nodule 製造販売承認番号: 30200BZX00269000
解析事例


対象のソフトウェア 販売名:医用画像解析ソフトウェア EIRL Chest XR 製造販売承認番号:30400BZX00285000
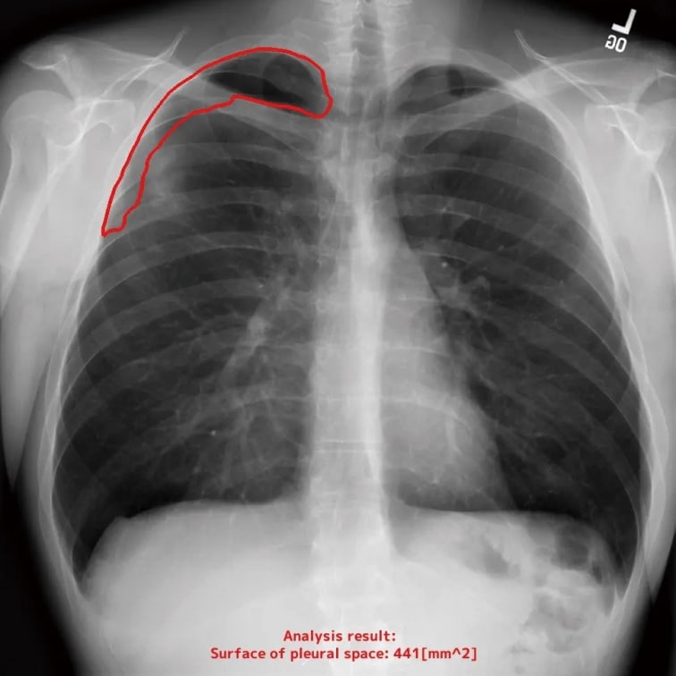
過去比較
過去に撮影された同一被験者の胸部X線画像を比較し、異常陰影候補領域の経時的変化を強調表示します。
<例>



* Noduleモードの場合。XRモードの場合は、新規検出のみ
自動計測機能





EIRL導入&活用事例
EIRL Story
システム連携
現在ご利用の医療画像管理システム(PACS)やモダリティと連携可能
国際的な医用画像規格「DICOM」に準拠しています。
医療機関で既に導入されている各社PACSやモダリティから画像データを受信し、
医師の手元にあるビューワー等で解析結果を出力することができます。

基本情報
| 販売名 | 医用画像解析ソフトウェア EIRL Chest XR |
| 製造販売承認番号 | 30400BZX00285000 |
| 添付文書 | 詳細をみる ver 1.13.7以降のバージョンをお使いの方はこちら 詳細をみる |
| DICOM適合性宣言書 | 詳細をみる |
| PACS連携実績 | 富士フイルム、PSP、コニカミノルタ、 キヤノンメディカルシステムズ、ジェイマックシステム、 イービーエム・ヘルスケア、GEヘルスケア、 キッセイコムテック、アストロステージ、 エクセル・クリエイツ、スリーゼット、エムネス等 |




