


肺結節の候補領域を検出




※画像はイメージです
開発にかける想い
読影枚数の多いCT画像診断において、
肺野領域の結節影の検出をサポート
- 日本における死亡原因の第1位はがんであり、その中でも肺がんは部位別がん死亡率の第1位 *1
- 肺がんは早期発見が生存率の向上につながることが示唆されている *2
- 胸部CTは肺がんを検出する形態診断法として、現時点で最も有力な検査であり *3 胸部CT検査には高い精度の維持が求められている *4
- 昨今、低線量CT検診など、検診での活用場面も増えており、胸部CT検査の重要度が増している
< 私たちの考える適切なサポート >
- AIによる検出支援、定量的情報の提供
- AIと医師によるダブルチェック体制の構築
< 実現する価値 >
- 見落としリスクの少ない胸部CT検査の実現
- 医師の心理的ストレス、身体的疲労の軽減
*1 国立がん研究センターがん情報サービス「がん統計」(厚生労働省人口動態統計)
*2 国立がん研究センターがん情報サービス「院内がん登録生存率集計」
*3 日本肺癌学会 肺癌診療ガイドライン2018年版
*4 日本CT検診学会「低線量CT による肺がん検診の肺結節の 判定基準と経過観察の考え方 第5版」
機能と使用条件
機能
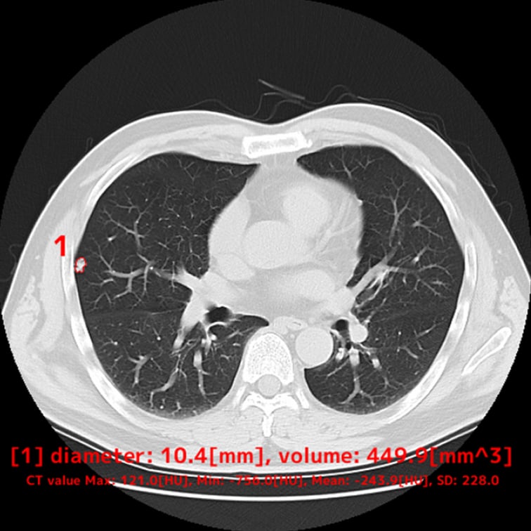
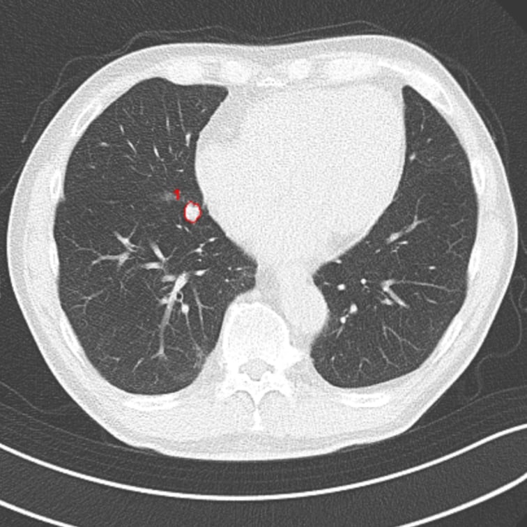
- 肺結節候補領域検出
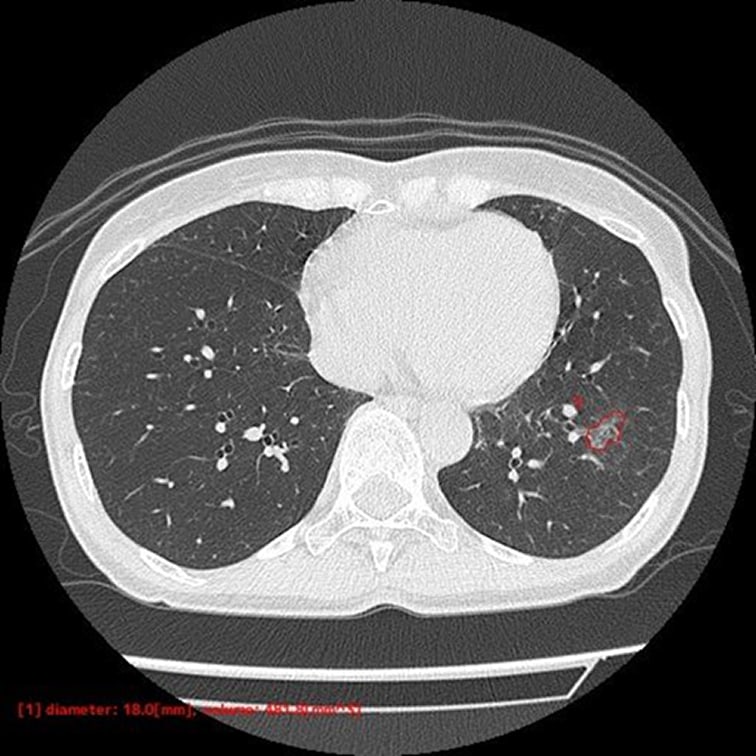
以下の肺結節候補領域を検出して表示します- 充実型:3mm以上30mm以下
- 部分充実型:5mm以上30mm以下
- すりガラス型:5mm以上30mm以下
- 自動計測
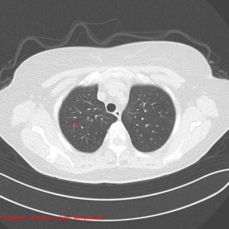
- 検出した候補領域の大きさ:体積 [mm³] およびAxial断面最大径 [mm] を出力
- CT値:最大・最小・平均値・標準偏差を出力
使用条件
- 1mm~5mm厚スライス
- 肺野条件
- 低線量CTにも対応
性 能
医師単独読影(EIRLなし)とEIRL併用読影を比較
医師の肺結節の検出感度が平均で9.1%向上
読影試験は肺結節の有所見画像60症例を含む胸部CT画像を対象に、専門医(8名)と非専門医(8名)の計16名の医師によって行われました。
*読影試験を行った16名の医師の内訳は以下の通りである。
・専門医(経験5年以上であり、放射線専門医、呼吸器専門医又は呼吸器外科専門医の資格を有する医師):8名
・非専門医(経験5年以下であり、上記の専門医資格を有さない放射線科、呼吸器科、内科、外科に所属している医師):8名
解析事例
標準線量CT




低線量CT


* 低線量CTについて
通常のCTに比べ、被検査者に与える被ばく量を軽減することが可能です。一方、撮影される画像は、通常のCTに比べて質が低下する傾向にあり、読影診断の難易度が高まると言われています。
システム連携
現在ご利用の医療画像管理システム(PACS)やモダリティと連携可能
国際的な医用画像規格「DICOM」に準拠しています。
医療機関で既に導入されている各社PACSやモダリティから画像データを受信し、
医師の手元にあるビューワー等で解析結果を出力することができます。

