


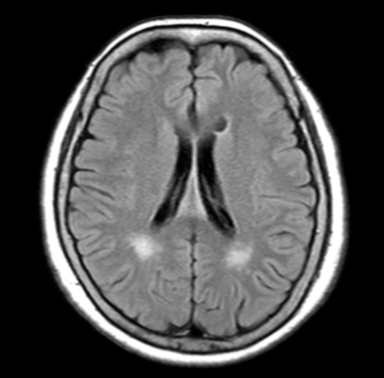
白質高信号領域の体積を自動計測




※画像はイメージです
開発にかける想い
定量的に計測することで、
より客観的な脳ドックの実施を支援
- 白質高信号領域の体積変化は様々な疾患の兆候になり得る
- 脳ドックガイドラインで求められるグレード分類は定性的な評価のため、ばらつきやすい
< 私たちが考える、画像診断支援AIに期待するサポート >
- 医師間の測定誤差・同一医師内のバラつき低減による、データの一貫性と信頼性の向上
- AIの自動計測による手作業での計測時間と労力の短縮、より重要な業務への集中
- 受診者向けレポートによる受診者満足度の向上
機能と使用条件
機能
- 白質高信号領域(脳室周辺白質高信号領域・深部皮質下白質高信号領域)の体積の自動計測
- 白質高信号領域の体積を測定した結果を元にしたP/Dスコア*の出力(エルピクセルが独自にスコアリング)
- 脳ドックのフィードバックに利用可能な受診者向けレポートの出力(非医療機器)
使用条件
- 入力:MRI FLAIR
- 撮像部位:頭部
- 磁場強度:1.5Tまたは3T
* P/Dスコアとは
白質高信号領域の体積を測定した結果を元に、エルピクセルが独自にスコアリングしたものです。
Pスコア:脳室周辺白質高信号領域(PVH)
| PVH 相対体積 [%] | Score P |
|---|---|
| pvh < 0.0491 | 0 |
| 0.0491 ≦ pvh < 0.3746 | 1 |
| 0.3746 ≦ pvh < 0.9021 | 2 |
| 0.9021 ≦ pvh < 1.4085 | 3 |
| 1.4085 ≦ pvh | 4 |
Dスコア:深部皮質下白質高信号領域(DSWMH)
| DSWMH 相対体積 [%] | Score D |
|---|---|
| dswmh < 0.0287 | 0 |
| 0.0287 ≦ dswmh < 0.159 | 1 |
| 0.159 ≦ dswmh < 0.8225 | 2 |
| 0.8225 ≦ dswmh < 2.0055 | 3 |
| 2.0055 ≦ dswmh | 4 |
・PVH:Periventricular Hyperintensity(脳室周囲高信号領域)
・DSWMH:Deep and Subcortical White Matter Hyperintensity(深部皮質下白質高信号領域)
※スコア及び基準数値はエルピクセルが独自に設定したものです
脳ドック受診者向けレポート自動生成機能
(特許第7742014号)*医療機器非該当品

<1ページ目>
AI解析結果を記載
- AIが測定した⽩質⾼信号領域の体積
- P/Dスコア
- 代表画像での⽩質⾼信号の可視化
- 同年代分布/年齢による変化における個人の位置をグラフ化
- 医師のコメント(定型⽂)

<2ページ目>
受診者への説明補助資料
- 白質高信号の説明
- P/Dスコアの説明
- 脳ドック学会のグレード分類のイメージ図
解析事例


体積とスコアは、サマリとして最後のスライスに出力されます
システム連携
現在ご利用の医療画像管理システム(PACS)やモダリティと連携可能
国際的な医用画像規格「DICOM」に準拠しています。
医療機関で既に導入されている各社PACSやモダリティから画像データを受信し、
医師の手元にあるビューワー等で解析結果を出力することができます。

基本情報
